Les schwannomes vestibulaires sont des tumeurs bénignes qui touchent le nerf vestibulaire, responsable de l’équilibre et de la coordination des mouvements. Elles peuvent provoquer des signes cliniques qui varient selon l’intensité de l’atteinte et des personnes (acouphènes, surdité, paralysie faciale…).
Schwannome vestibulaire : une tumeur bénigne du cerveau
Les schwannomes vestibulaires sont des tumeurs plutôt rares puisqu’elles représentent environ 10 % des tumeurs intracrâniennes. Elles se développent à partir des cellules de Schwann entourant les nerfs crâniens, et concernent le nerf vestibulaire, chargé d’assurer l’équilibre et la coordination. Les schwannomes vestibulaires prennent naissance habituellement au niveau du conduit auditif interne, là où circulent le nerf vestibulaire et le nerf cochléaire. Ces tumeurs bénignes peuvent entraîner une compression de ces nerfs et ainsi provoquer des troubles de l’audition ou encore de l’équilibre. Dans certains cas, elles peuvent impliquer un envahissement du cervelet ou du tronc cérébral avec des complications neurologiques plus importantes.
Les schwannomes vestibulaires peuvent être unilatéraux lorsqu’ils ne touchent qu’un seul côté, ou bilatéraux lorsqu’ils atteignent les deux côtés du crâne à la fois.
L’incidence de cette pathologie a augmenté ces dernières années, très probablement en raison d’une meilleure prise en charge diagnostique et d’une amélioration des technologies d’imagerie médicale. Aujourd’hui, on retrouve un taux d’incidence variant de 3 à 5 personnes atteintes pour 100 000 chaque année. Ce taux d’incidence en augmentation est plus marqué chez les personnes âgées de plus de 70 ans (20 cas pour 100 000/année).
Le diagnostic est souvent réalisé aux alentours de 60 ou 70 ans, lorsque la taille de la tumeur est de quelques millimètres. L’âge moyen au moment du diagnostic a lui aussi augmenté au cours de ces dernières années, passant de 49 ans à 60 ans. Le volume moyen de la tumeur au moment du diagnostic a quant à lui diminué, offrant des possibilités de traitements plus étendues.
Consultez également notre article sur le cancer ORL
Schwannome vestibulaire : causes et diagnostic

L’origine des schwannomes vestibulaires est encore incertaine, et l’on connaît encore mal les facteurs de risque possibles susceptibles de conduire à cette affection. Ces tumeurs bénignes sont engendrées par des lésions du matériel génétique des cellules contenues dans la gaine des nerfs impliqués, mais l’origine de ce mécanisme reste pour l’heure inconnu.
On pense que certains facteurs génétiques ou environnementaux pourraient favoriser leur survenue, mais aucune preuve formelle n’est encore établie.
Le diagnostic repose sur plusieurs étapes. La consultation avec un spécialiste permet de réaliser un interrogatoire afin de connaître la symptomatologie.
Les signes cliniques peuvent être variés, selon la taille et l’emplacement de la tumeur. Les plus courants sont :
- une diminution soudaine ou progressive de l’audition d’un côté ;
- des acouphènes ;
- des troubles de l’équilibre, des nausées ou des vertiges ;
- une impression de pesanteur ou de pression dans l’oreille ;
- des céphalées, une fatigue ;
- une paralysie ou une faiblesse du côté du visage touché résultant de la compression du nerf facial qui circule à proximité du nerf cochléo-vestibulaire ;
- des troubles sensitivo-moteurs sur d’autres zones du visage, du cou ou des membres (évoquant une compression d’autres nerfs crâniens ou du tronc cérébral).
Un examen clinique avec examen du conduit auditif complète la consultation. Des tests auditifs et vestibulaires sont programmés. Ces éléments permettent d’évaluer les signes ORL et neurologiques du patient.
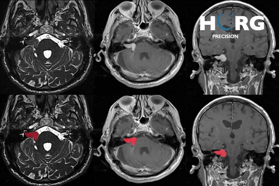
Enfin, l’IRM est l’examen d’imagerie médicale de référence pour diagnostiquer de façon formelle les schwannomes vestibulaires. Elle permet de visualiser les tumeurs, ainsi que leur localisation précise et leur impact sur les structures voisines.
Schwannome vestibulaire : les différents traitements
La prise en charge thérapeutique dépend de plusieurs critères, comme le volume et le nombre de tumeurs, les symptômes présents, l’âge du patient, son état de santé général, etc. On peut cependant distinguer trois grands axes thérapeutiques :
Surveillance active

Elle consiste à programmer régulièrement des consultations et des examens comme une IRM pour suivre l’évolution de la tumeur avant de mettre en place un traitement. La surveillance peut être proposée en présence d’une tumeur de petit volume, stable, n’entraînant pas ou peu de symptômes, ou si le patient ne souhaite pas subir une intervention.
Chirurgie
Le geste consiste à retirer la tumeur en préservant au mieux le nerf facial et le nerf cochléaire. Cette option de traitement peut être envisagée en présence d’une tumeur volumineuse, avec compression et présente de symptômes invalidants. Le traitement chirurgical peut se dérouler selon différentes techniques, en fonction de la taille et de la localisation de la tumeur, ainsi que du degré de conservation de l’audition possible.
La microchirurgie est la technique la plus fréquente, car elle permet de retirer complètement la masse avec un contrôle permanent du nerf facial. Elle peut se dérouler par voie rectosigmoïde (derrière l’oreille), par voie translabyrinthique (à travers l’oreille interne) ou par voie médio-fossaire (au-dessus de l’oreille).
Le traitement chirurgical peut présenter des risques de complications, comme une perte définitive de l’audition, un saignement ou une paralysie faciale. Cependant, si toutes les conditions sont réunies et que le geste est pratiqué par un chirurgien expert, ces risques sont réduits.
Radiothérapie ou radiochirurgie stéréotaxique
La radiothérapie stéréotaxique consiste à administrer une irradiation de haute énergie directement à la tumeur pour arrêter ou ralentir sa croissance. Ce traitement peut être proposé en présence d’une tumeur de petit ou moyen volume de manière exclusive, ou de contre-indications à un geste chirurgical ou si le patient ne souhaite pas être opéré ou après une chirurgie partielle avec un résidu tumoral.
Les schwannomes vestibulaires sont des tumeurs bénignes capables d’entraîner de nombreuses complications invalidantes au quotidien. Leur diagnostic repose essentiellement sur l’IRM et la prise en charge thérapeutique personnalisée dépend de nombreux facteurs. Le suivi est, dans tous les cas, indispensable pour surveiller l’évolution de la tumeur ou repérer de possibles complications ou récidives.





